Ampoule = phlyctène :
Dues généralement à un échauffement excessif de la peau par frottements répétés, il convient d’en prendre soin et de ne pas les négliger.
1 – Prévention :
– Bien choisir ses chaussures, à la bonne taille.
– Ne pas partir en week end avec juste des rangers neuves… Il faut les casser avant ou prévoir d’autres chaussures pour alterner sinon ce sont les ampoules qui vont vous casser.
– Mettre des chaussettes épaisses, talquer/graisser les zones de frottement ou mettre un sparadrap… Demandez à votre grand mère elle aura plein de remèdes à vous conseiller !
2 – Prise en charge :
– Une ampoule est à considérer comme une plaie, il faut la désinfecter et la protéger.
– Ne percez pas une ampoule, ça retardera la cicatrisation contrairement à ce qu’on pourrai penser. Désinfectez la et mettez un pansement pour la protéger.
– Si l’ampoule est percée, même combat : désinfection + protection. Mais n’enlevez pas “la peau de la bulle”.
– Si l’ampoule est ulcérée (la peau est partie), nettoyez la, désinfectez là et enfin (pareil) protégez la.
– Assurez vous d’être correctement vacciné contre le tétanos (DTP, Repevax, Revaxis…)
Attention, le calendrier vaccinal a changé en 2013. Si vous êtes majeur depuis peu, il se peut que votre dernière vaccination date de l’âge de 11-13 ans ou que vous ayez eu le rappel des 16-18 ans ; dans les deux cas, votre prochaine vaccination sera à 25 ans. Pour les plus anciens, les dates sont : 25 / 45 / 65ans. Si vous n’êtes pas à jour, filez voir votre médecin traitant, le tétanos est une maladie grave qu’on ne sait pas soigner et dont on meurt. En revanche on a un vaccin qui est bien toléré, ça serait bête de ne pas le faire.
– NB : Une ampoule présentant des signes manifestes d’infection ou une ampoule étendue doivent vous faire consulter votre médecin car risque d’infection grave, de tétanos.
.
Entorse :
Le plus souvent dues à un mauvais mouvement d’une articulation, l’airsofteur est particulièrement exposé aux entorses de cheville et de poignet.
1 – Prévention :
Seulement du bon sens
– Des chaussures adaptées, montantes.
– Pas de prise de risque inconsidérée…
2 – Prise en charge :
– Arrêt de l’activité, faites vous aider pr rentrer (on ne conduit pas avec une entorse de cheville).
– Appliquez de la glace sur la région gonflée pour aider à dégonfler tout ça (et soulager un peu la douleur).
– Bandez l’articulation pour la stabiliser et limiter le gonflement.
– Surélevez l’articulation (jambe sur un fauteuil, bras en écharpe…)
– Repos et arrêt de tout sport tant que la douleur persiste (et idéalement encore au delà).
– Bougez l’articulation de temps en temps.
– Du paracétamol (dafalgan, doliprane…) atténuera la douleur.
– NB : Toute notion de craquement lors de l’accident, tout gonflement extreme ou douleur anormalement forte doit vous amener à consulter un médecin pour éliminer une fracture.
.
Luxation :
Elle diffère de l’entorse par le fait que l’articulation n’est plus respectée avec un déplacement anormal plus ou moins évident d’une section de membre.
Le plus souvent la luxation arrive à l’épaule mais elle peut toucher toute articulation.
Prise en charge :
– Une luxation est une urgence, il faut réagir vite. Si elle n’est pas prise en charge rapidement, les muscles se rétractent et fixent définitivement les os dans une mauvaise position, la chirurgie étant alors la seule option possible.
– Prévenez les secours : 15.
– Immobilisez l’articulation dans la position où elle est. Ne tentez en aucun cas de la mobiliser, de rapprocher le bras le long du corps, vous risqueriez de casser la tête humérale, d’écraser un nerf ou une artère…
– Si la victime peut se déplacer (luxation d’épaule ou poignet), emmenez là aux urgences (dotées d’un service de radiologie) les plus proches (gaffe à la position de la ceinture si luxation épaule).
– Si la victime ne peut se déplacer, attendez les secours.
– Gardez la victime à jeun, si jamais elle devait être opérée.
– NB1 : Toute luxation entraînera une radiographie pour éliminer une fracture.
– NB2 : Encore une fois ne tentez pas vous même de réduire la luxation, vous risquez d’entraîner de graves lésions.
– NB3 : Une luxation est une course contre la montre, si la prise en charge est rapide, elle sera réduite à la main ; si c’est trop long, ce sera chirurgie…
.
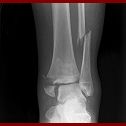
Fracture :
Pas toujours évident à repérer sur le terrain et à différencier d’une entorse, au moindre doute partez du principe que c’est cassé. Les signes qui doivent faire évoquer la fracture sont la notion de craquement, de déformation d’un membre, l’impossibilité de bouger le membre, de le mettre en appui et l’existence d’une douleur localisée.
Prise en charge :
– Ne rien manger !! Il faut rester à jeun si jamais chirurgie il devait y avoir.
– Pour une atteinte du membre supérieur, la victime peut se rendre à l’hôpital accompagnée par qqun.
– Pour les autres fractures, appelez le 15. (fracture de la colonne, crâne, membre inférieur, fractures ouvertes ou multiples, victime qui ne se sent pas bien…)
– Ne bougez pas le membre fracturé !! Vous risqueriez de percer une artère ou sectionner un nerf.
– En cas de fracture ouverte (os apparent qui a déchiré la peau), protégez la zone à l’aide de compresses stériles ou d’un linge propre afin d’éviter de souiller la blessure (infection).
– Attendez les secours qui sauront prendre en charge la victime.
– NB : Encore une fois, ne manipulez pas le membre touché, empêchez le de bouger au maximum !
.
Hémorragie :
Prise en charge :
– Allongez la victime.
– Comprimez l’endroit qui saigne (protégez vous avec des gants idéalement).
– Appelez le 15.
Cas particulier : plaie avec corps étranger.
– Ne retirez pas le corps étranger d’une plaie, quel qu’il soit (couteau, branche…), en l’enlevant vous risqueriez d’aggraver considérablement l’hémorragie.
– Comprimez autour de l’objet, mais pas dessus.
– NB : Un garrot ne peut être posé que si l’urgentiste au téléphone vous le demande.
.
Explosion / trauma de l’oreille :
En airsoft un type de grenade bien particulier est à proscrire dans certaines situations : les grenades détonnantes. Que ce soient les grenades Hakkotsu/Thunder à base de CO2 ou toute grenade pyrotechnique. Le risque est double : effet de souffle (limité tout de même) pouvant déchirer le tympan et surtout effet de bruit qui va traumatiser votre oreille interne avec pour conséquence une perte auditive nette et un fort risque d’acouphène.
NB : L’acouphène est un sifflement dans l’oreille perçu 24h/24 qui empêche souvent de dormir correctement, provoque dépressions et désociabilisation jusqu’au suicide dans une proportion non négligeable de cas. Ne vous y risquez pas, une recherche avec “acouphène” et “suicide” sur google vous donnera un certain aperçu…
1 – Prévention :
– Proscrire les grenades sonores détonnantes.
– Proscrire les grenades sonores détonnantes.
– Proscrire les grenades sonores détonnantes.
– Ce d’autant plus que vous jouez en environnement fermé (bâtiment).
– Si elles ne sont pas interdites, les bouchons d’oreille seront la seule solution mais pas pratique pour jouer. Ou alors boycottez le jeu en espérant que vous serez plusieurs et que ça fera bouger les choses.
2 – Conduite à tenir après coup :
Malheureusement une grenade a pété pas trop loin de vous et ça siffle ou vous entendez moins bien.
– Filez voir votre médecin rapidement, il y a un traitement à prendre rapidement qui réduit le risque de séquelles. J’ai bien dis “réduit”. Il n’y a pas de traitement efficace des acouphènes, une fois qu’on les a, c’est à vie et votre vie changera.
– Arrêtez la partie hein… pas la peine d’en remettre une couche.
NB : Ne sous-estimez pas ce danger !
Lecture intéressante : http://www.oreille-malade.com/2011/05/facebook-temoignage-acouphenes-suicide.html
.
Oeil crevé :
C’est déjà arrivé, ça arrive toujours et ça arrivera malheureusement encore. On n’a que deux yeux, protégez les, ça ne repousse pas…
1 – Prévention :
Port d’une protection occulaire adaptée, respect des règles de sécurité…
2 – Prise en charge :
Oeil crevé = grande chance de perdre complètement la vue et petite chance selon la trajectoire de la bille de la conserver (incomplète).
Même crevé, un oeil peut se réparer s’il n’est pas trop abîmé, afin d’éviter d’avoir à mettre un oeil de verre, voire même en conservant une certaine acuité visuelle.
Pour avoir une chance de se faire “réparer” l’oeil, il faut tout faire pour éviter que le globe occulaire ne s’abîme davantage.
– Coucher la victime sur le dos.
– Dites lui de fermer les deux yeux et de limiter au maximum le mouvement des yeux. (Les deux ! Les yeux ont un mouvement parallèle, si l’oeil non crevé n’est pas fermé, il fixera tout ce qui bouge et le globe occulaire crevé bougera en permanence ce qui aggravera les lésions.)
– Poser une compresse humide sur l’orbite de façon à éviter que des poussières ne s’y mettent.
– L’empêcher de se toucher les yeux ; ne touchez pas les yeux vous non plus, l’oeil pourrai s’infecter et nécessiter d’être enlevé.
– Calmer la victime qui sera dans une situation de panique extrême, lui parler doucement, la rassurer.
– Appeler le 15.
– NB1 : Ne tentez rien de plus, n’essayer pas d’enlever la bille si elle y est encore, n’essayez pas de nettoyer. Vous ne pourrez pas guérir l’oeil mais vous pouvez l’empêcher de s’abîmer davantage et la victime vous remerciera si elle peut conserver son oeil plutôt que d’en avoir un en verre.
– NB2 : Ne rien lui donner à boire ou manger afin de lui permettre de bénéficier d’une chirurgie en urgence (à jeun seulement).
.
